Right Atrium Measurement in Ultrasound Videos
Atrial fibrillation is an irregular rhythmic beating of the heart associated with coronary heart disease, high blood pressure and blood clots. Detection and tracking of conditions leading to it is routinely done by observing the heart using noninvasive ultrasound imaging (echocardiogram). Observations are particularly focused on the performance of the right atrium.
Irregularity in the volume of the right atrium indicates the presence of severe disease. Enlargement of the right atrium might result from volume or pressure load. Detection and estimation of the severity of the pressure can be performed by measuring the size and shape of the vena cava, entering and exiting the right atrium.
The right atrium is a hollow chamber in the upper right side of the heart, responsible for pumping the blood. Deoxygenated blood enters the right atrium through veins and from there it is pushed to the right ventricle on its way to be oxygenated in the lungs.
Changes in the volume and shape of the right atrium indicates its flexibility to contract. Viewing and tracking these changes allows physicians to estimate whether the heart is functioning correctly. The shape and borders of the right atria indicates the volume pressure.
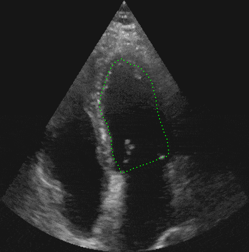
Automatic detection and measurement of the right atrium aids physicians to estimate the severity of pressure load or the existence of other pathologies. It is therefore key to provide the medical profession with a precise right atrium measurement tool. For this end, RSIP Vision has constructed software which automatically measures the right atrium. The videos we have analyzed are in 4 chamber view, in which the heart shape changes throughout its cycle. The dynamic changes complicate the detection and tracking. RSIP Vision has overcome the challenges of dynamic heart view using advanced image processing methods to track deformable objects. Coupled with machine learning procedures we have produced an algorithm to accurately measure the shape and volume of the right atrium.
The significance of fast automatic detection of pathologies in right atrium is emphasized with the increased availability of bedside ultrasound used in emergency rooms to detect pathologies and manage patients. Our algorithms can operate in real-time in those machines to give valuable information in routine procedures or emergencies.

Cardiology




